Introduction
Monoclonal antibodies have been widely used for various research and diagnostic aims where strict antigen specificity is a key point of interest. Additionally, the direct use of monoclonal antibodies as therapeutic treatments is becoming more feasible due to a combination of advances in antibody engineering (e.g., the development of chimeric and humanized antibodies) and improved technology for antibody production.
Because antibody-antigen specificity is determined by the specific structure of the antibody’s variable region, analysis of this region’s sequence is the first step in many applications, including antibody production in an animal-free system, development of antibodies as pharmaceuticals, and production of engineered antibody variants. With SMART cDNA synthesis technology and a streamlined method, SMARTer RACE kits provide a rapid, easy way to analyze these variable and important nucleotide sequences.
Results
Solutions for sequence analysis of variable domains
The immune system produces 108 varieties of antibodies to defend against invading substances from the outside world. This diversity is achieved through V(D)J recombination that occurs in developing lymphocytes. Antibody molecules have heavy (H) and light (L) chain components with both constant and variable (V) regions; V(D)J recombination is a nearly random rearrangement of the variable sequence with other gene segments. This process generates unique antigen receptors. Since it is the variable region on the N-terminal side of the H and L chains that determines antibody-antigen affinity, analysis of this region is of great interest.
Figure 1. Basic antibody structure.
When analyzing the variable region, designing universal primers that will amplify all possible antibody sequences is extremely difficult. The inherent variability in the upstream 5′ terminus of the H and L chains results in low sequence homology. An effective way to analyze these variable domains is to design a degenerate primer in a constant region downstream of the variable region, where the sequence is relatively conserved. A target region can then be cloned using the 5′ RACE (Rapid Amplification of cDNA Ends) method, and subsequently sequenced. SMARTer RACE kits bring complete 5′-end information and sensitivity to this process.
Advantages of SMARTer technology in RACE applications
With the SMARTer RACE cDNA Amplification Kit, the SMARTer II A Oligonucleotide is added to the end of the cDNA during reverse transcription. This process incorporates our unique SMART (Switching Mechanism at the 5′ end of RNA Template) technology, which allows the reverse transcriptase to reach the absolute 5′ end of the transcript. Most other RACE-PCR methods do not capture the 5′ end and therefore miss out on important information. Furthermore, the addition of the SMART sequence at the 5′ end enables the use of this site for downstream amplification and cloning. Optimization of the SMARTer RACE components and protocol dramatically reduce non-specific background and increase amplification efficiency. The robust system yields reliable results even with samples that are contaminated with genomic DNA and is appropriate for use in a wide range of applications. Amplification of cDNA fragments with a high-fidelity polymerase ensures the accurate replication of nucleotide sequences needed for effective analysis.
Rapid cloning of antibody genes derived from a mouse hybridoma
In preparation for cloning mouse hybridoma antibody genes, a primer for reverse transcription (RT primer) and a reverse primer for RACE PCR (5′-RACE primer) were designed for H, L (κ), or L (λ) chains based on the sequence of all mouse IgG classes registered in the NCBI nucleotide database. By using the SMARTer RACE method to perform first-strand cDNA synthesis from total RNA, directly followed by 5′-RACE PCR, it is possible to obtain not only 5′-terminal sequences but also cDNA fragments that contain full-length sequences of the variable regions.

Figure 2. Experimental workflow for 5′-RACE PCR of the antibody variable domain using the SMARTer RACE cDNA Amplification Kit.
A mouse hybridoma strain was cultured and confirmed to produce a monoclonal antibody with H and L chains consisting of γ2a and κ chains, respectively. Total RNA was prepared and used as input for the SMARTer RACE cDNA Amplification Kit. First-strand cDNA synthesis and 5′-RACE PCR were performed according to the recommended protocols for both the heavy (H) and light (L) chains, and amplified products were confirmed by agarose gel electrophoresis of a portion of the reaction mixture.

Figure 3. Confirmation of successful amplification of antibody genes from mouse hybridomas.
Amplified products were cloned into pUC118 and then sequenced. Sequences were confirmed to contain ORFs corresponding to the amino acid sequences of the H and L chains obtained from analysis of the N-terminal amino acid sequence of the monoclonal antibody.
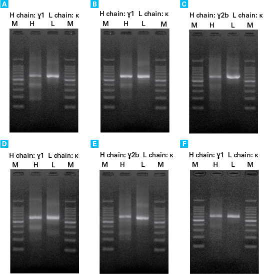
We then performed the same type of gene sequence analysis of the variable antibody region for six additional hybridoma strains. PCR products were obtained from all antibody subclasses. Sequence analysis showed that 90% of the H-chain clones and 50% of the L-chain clones accurately coded for the N-terminal amino acid sequence for their respective target antibody proteins.

Figure 4. Amplification of various subclasses of mouse antibody genes.
In a few cases, clones had sequence homology to the target antibodies, yet coded for ORFs unlikely to encode functional antibodies due to the presence of stop codons in their sequences. In addition, we suspect one particular clone contained a transcript from myeloma cells used for cell fusion because the sequence was obtained from multiple hybridomas. Some hybridomas generated more clones with this common sequence than sequence coding for a target monoclonal antibody. Based on these results, it is clear that the N-terminal amino acid sequence of a target antibody should be analyzed and confirmed in parallel with DNA sequence analysis.
Further improvements to SMARTer RACE cDNA synthesis, including streamlined cloning
In an effort to enhance the RACE procedure, we recently made significant updates to our SMARTer RACE kits. The data shown above was obtained with the SMARTer RACE cDNA Amplification Kit, in conjunction with PrimeSTAR HS DNA Polymerase for PCR, and the Mighty Cloning Reagent Set (Blunt End) for ligation cloning. Since then, we have developed the SMARTer RACE 5′/3′ Kit, a complete system with the same unique SMARTer core technology, plus further refinements in reaction conditions and for downstream cloning.
The new kit contains all the components (save gene-specific primers) necessary to perform SMARTer RACE experiments. It provides high sensitivity and specificity, as well as low background, by pairing the SMARTer II A Oligonucleotide with SMARTScribe Reverse Transcriptase. Robust PCR performance is provided by SeqAmp DNA Polymerase, which is especially useful when amplifying challenging targets that are long or GC-rich.
Key among the components of the SMARTer RACE 5′/3′ Kit is the In-Fusion HD Cloning Kit, which allows for easy, accurate cloning of your 5′-RACE fragments without the use of a ligase. A linearized vector compatible with In-Fusion technology is provided in the kit, and the included primers are designed specifically to match this vector. The In-Fusion Cloning method is highly efficient and well-suited to all cloning applications. By pairing this technology with the well-established SMARTer RACE method, it only takes two days to go from RNA to clones ready for analysis.
Conclusions
SMARTer RACE cDNA synthesis provides a sensitive, streamlined solution for full-length sequence analysis of antibody variable domains. The diversity in these variable regions, while critical for an effective immune response, presents a challenge to researchers looking to analyze these gene segments for a wide range of studies, including pharmaceutical development. Having this sequence makes it possible to engineer antibodies with improved in vivo stability, with improved affinity, or with dual specificity. Evaluation of antibody variable regions is the first step toward these and many other antibody modifications, and SMARTer 5′-RACE PCR is an efficient method for cloning these targets for sequencing purposes.
Methods
Each of the seven mouse hybridoma strains (all stored at Takara Bio Inc.) were cultured and confirmed via subclass testing to produce monoclonal antibodies with H and L chains consisting of γ2a and κ or λ chains, respectively. Total RNA was prepared from 106 cells (one 10-cm dish) using a FastPure RNA Kit, yielding ~70 µg.
A reverse transcription (RT) primer and a reverse primer for RACE PCR (5′-RACE primer) were designed for H, L (κ), or L (λ) chains based on the sequence of all mouse IgG classes registered in the NCBI nucleotide database. Following the protocol for the SMARTer RACE cDNA Amplification Kit, first-strand cDNA was synthesized using 500 ng of total RNA as a template. For each sample, two reverse transcription reactions were performed at the same time, using RT primers for H and L chains, respectively.
| 1 µl | Total RNA (500 ng/µl) |
| 1 µl | RT primer (12 pmol/µl) |
| 1.75 µl | Deionized H2O |
| 3.75 µl | Total |
These reaction mixtures were incubated at 72°C for 3 min, followed by 42°C for 2 min in order to denature the RNA. 1 µl of the SMARTer II A Oligonucleotide (12 µM) was then added and mixed, for a total volume of 4.75 µl. A Master Mix (as shown below) was prepared for each cDNA synthesis reaction.
| 2 µl | 5X First-Strand Buffer |
| 1 µl | DTT (20 mM) |
| 1 µl | dNTP Mix (10 mM) |
| 0.25 µl | RNase Inhibitor (40 U/µl) |
| 1 µl | SMARTScribe Reverse Transcriptase (100 U/µl) |
| 5.25 µl | Total |
5.25 µl of Master Mix was added to each reaction for a total of 10 µl. First-strand cDNA synthesis was performed at 42°C for 90 min, followed by 72°C for 10 min. 50 µl Tricine-EDTA Buffer 1 was added to each reaction, and the samples were stored at -20°C until the RACE reactions were performed. 5′-RACE PCR was performed with PrimeSTAR HS DNA Polymerase with the first-strand cDNA generated above as the template. Components were added as follows:
| 10 µl | 5X PrimeSTAR Buffer (Mg2+) |
| 4 µl | dNTP Mixture (2.5 mM) |
| 2.5 µl | First-strand cDNA |
| 5 µl | 10X UPM (Universal Primer A Mix) |
| 1 µl | 5′-RACE primer (10 pmol/µl) |
| 0.5 µl | PrimeSTAR HS DNA Polymerase (2.5 U/µl) |
| 27 µl | H2O |
| 50 µl | >Total |
The thermal cycler program was set as follows:
| 94°C | 10 sec |
| 30 cycles | |
| 98°C | 10 sec |
| 60°C | 5 sec |
| 72°C | 1 min |
| 72°C | 3 min |
The amplified products from the 5′-RACE PCR were confirmed by agarose gel electrophoresis (using 2% NuSieve 3:1 Agarose) on a portion of the reaction mixtures. Products were cloned into pUC118 using the Mighty Cloning Reagent Set (Blunt End) and analyzed via Sanger sequencing. The above experiments were performed with the SMARTer RACE cDNA Amplification Kit in conjunction with several additional products. The current SMARTer RACE 5′/3′ Kit contains all the necessary components for RACE PCR:
